Jste na stránce:

Klasifikace nádorů prsu

Klasifikační systém podle WHO

Adenoidně cystický karcinom

Definice

Low-grade analogon identického nádoru vyskytujícího se ve slinných žlázách.

ICD-O kód

8200/3

Histologická struktura

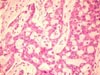
Převládající, charakteristické solidně kribrifomní, cylindromatózní (event. trabekulárně tubulární) uspořádání, jednak s tvorbou pseudoglandulárních prostor s myxoidní či homogenní kolagenní matrix, jednak s tvorbou skutečných žlázových prostor s eozinofilním sekretem (obr. 1). Tomu odpovídá i duální buněčná kompozice zahrnující dominantní myoepiteliální/basální elementy a menšinovou sekretorickou složku. Mnohdy dochází ke skvamózní či sebaceózní diferenciaci. Jev velmi zřídka se podaří v adenoidně cystickém karcinomu (ACC) nalézt in situ komponentu konvečního charakteru, která bývá důvodem možné recidivy. Depozita materiálu basálních membrán mohou být natolik rozsáhlá, že maskují základní konfiguraci léze a imitují skirhotický karcinom. Běžné jsou známky perineurální propagace, lymfangioinvaze je vzácná. Kromě opravdových sekrečních buněk exprimuje většina elementů rovněž vysokomolekulární cytokeratiny (CK 5/6, CK14), vimentin a částěčně i p63, hladkosvalový aktin a S100 protein. Nádory jsou typicky negativní na hormonální receptory a onkoprotein Her2/neu (tripple negativní). ACC má velmi dobrou prognózu a jen vzácně metastazuje, neprovádí se standardní grading dle Nottighamské klasifikace. Do velikosti 2 cm je vhodný ke konzervativní terapii s explorací sentinelové LU.

Obrázky a legendy

Obr.1
Obr. 1
Typická pseudokribroiformní struktura ACC s globoidními, amorfními, hyalinními, extracelulárními depozity materiálu basálních membrán.
Obr.2
Obr. 2
Solidní hnízda tzv. "bazaloidního" karcinomu s abortivní tvorbou pravých žlázových lumin. Ke tvorbě kolagenních sferul nedochází.

Jiné informace

Uvádí se, že čistě solidní varianta ACC (basaloidní) bez tvorby cylindromatózních formací má horší prognózu (obr. 2); tento subtyp nejspíše zapadá do heterogenní skupiny high grade, prognosticky nepříznivých tumorů s myoepiteliálním/basálním imunofenotypem - tzv. "basal-like" či "basal cell-type" karcinomů. Tyto jsou typicky tripple negativní a často exprimují EGFR (Her1), což má potenciální terapeutický význam.

Diferenciálně diagnosticky je potřeba od ACC odlišit především naprosto benigní intraduktální kolagenní sferulózu a dále konvenční kribriformní invazívní karcinom. Při dodržení striktních diagnostických kriterií není rozlišení ve většině případů obtížné.

Odkazy na recentní literaturu

  1. Rosen PP.: Adenoid cystic carcinoma of the breast: a morphologically heterogeneous neoplasm. Pathol. Annu., 1989, 24: s. 237-254
  2. Lamovec J., Uskrasovec M., Zidar A-: Adenoid cystic carcinomas of the breast: a histologic, cytologic and immunohistochemical study. Sem. Diagn. Pathol., 1989, 6: s. 153-164.
  3. Ro JY, Silva EG, Gallager HS.: Adenoid cystic carcinoma of the breast. Hum. Pathol., 1987, 18: s. 1276-1281.
  4. Tavassoli FA, Norris HJ.: Mammary adenoid cystic carcinoma with the sebaceous differentiation: a morphologic study of the cell types. Arch. Pathol. Lab. Med., 1986, 110: s. 1045-1053.
  5. Shin SJ, Rosen PP.: Solid variant of mammary adenoid cystic carcinoma with basaloid features. Am. J. Surg. Pathol., 2002, 26: s. 413-420.
  6. Soon SR, Yong WS, Ho GH et al. Adenoid cystic breast carcinoma: a salivary gland-type tumour with excellent prognosis and implications for management. Pathology. 2008 Jun;40(4):413-5.
  7. Noske A, Schwabe M, Pahl S, Fallenberg E et al. Report of a metaplastic carcinoma of the breast with multi-directional differentiation: an adenoid cystic carcinoma, a spindle cell carcinoma and melanoma. Virchows Arch. 2008 May;452(5):575-9.
  8. Lamovec J, Falconieri G, Salviato T et al. Basaloid carcinoma of the breast: a review of 9 cases, with delineation of a possible clinicopathologic entity. Ann Diagn Pathol. 2008 Feb;12(1):4-11.
  9. Rabban JT, Swain RS, Zaloudek CJ et al. Immunophenotypic overlap between adenoid cystic carcinoma and collagenous spherulosis of the breast: potential diagnostic pitfalls using myoepithelial markers. Mod Pathol. 2006 Oct;19(10):1351-7.
  10. Albores-Saavedra J, Heard SC, McLaren B et al. Cylindroma (dermal analog tumor) of the breast: a comparison with cylindroma of the skin and adenoid cystic carcinoma of the breast. Am J Clin Pathol. 2005 Jun;123(6):866-73.

 


Copyright © 2002-2021 Bioptická laboratoř s.r.o.
Nádory prsu ·
Klasifikace ·
Klasifikace podle WHO ·
Adenoidně cystický karcinom

O úroveň výš
Předchozí 15 / 31 Další

  1. Invazivní duktální karcinom NOS
  2. Invazivní lobulární karcinom
  3. Tubulární karcinom
  4. Invazivní kribriformní karcinom
  5. Medulární karcinom
  6. Mucin produkující karcinomy
  7. Neuroendokrinní karcinomy
  8. Invazivní papilární karcinom
  9. Invazivní mikropapilární karcinom
  10. Apokrinní karcinom
  11. Metaplastický karcinom
  12. Karcinom bohatý na lipidy
  13. Sekretorický karcinom
  14. Onkocytický karcinom
  15. Adenoidně cystický karcinom
  16. Acinický karcinom
  17. Na glykogen bohatý světlobuněčný karcinom
  18. Sebaceozní karcinom
  19. Inflamatorní karcinom
  20. Bilaterální karcinom prsu
  21. Lobulární neoplazie
  22. Intraduktální proliferativní léze
  23. Mikroinvazivní karcinom
  24. Intraduktální papilární neoplazie
  25. Benigní epiteliální léze
  26. Myoepiteliální léze
  27. Mesenchymální nádory
  28. Fibroepiteliální nádory
  29. Tumory prsní bradavky
  30. Maligní lymfom a metastatické nádory
  31. Nádory mužského prsu
Nádory prsu