Jste na stránce:

Klasifikace nádorů prsu

Klasifikační systém podle WHO

Maligní lymfom a metastatické nádory

Metastatické nádory

Detail obrázku

Obr. 1
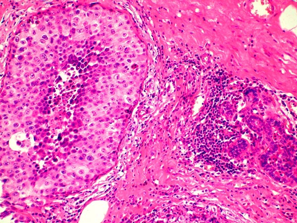
Metastáza maligního melanomu do prsu napodobující komedonový DCIS
Obr.1
Zpět do textu

 


Copyright © 2002-2021 Bioptická laboratoř s.r.o.
Nádory prsu ·
Klasifikace ·
Klasifikace podle WHO ·
Maligní lymfom a metastatické nádory ·
Metastatické nádory ·
Obr.1

O úroveň výš
Předchozí 30 / 31 Další
Zpět do textu
Obr.
Předchozí obrázek 1 / 2 Další obrázek

  1. Invazivní duktální karcinom NOS
  2. Invazivní lobulární karcinom
  3. Tubulární karcinom
  4. Invazivní kribriformní karcinom
  5. Medulární karcinom
  6. Mucin produkující karcinomy
  7. Neuroendokrinní karcinomy
  8. Invazivní papilární karcinom
  9. Invazivní mikropapilární karcinom
  10. Apokrinní karcinom
  11. Metaplastický karcinom
  12. Karcinom bohatý na lipidy
  13. Sekretorický karcinom
  14. Onkocytický karcinom
  15. Adenoidně cystický karcinom
  16. Acinický karcinom
  17. Na glykogen bohatý světlobuněčný karcinom
  18. Sebaceozní karcinom
  19. Inflamatorní karcinom
  20. Bilaterální karcinom prsu
  21. Lobulární neoplazie
  22. Intraduktální proliferativní léze
  23. Mikroinvazivní karcinom
  24. Intraduktální papilární neoplazie
  25. Benigní epiteliální léze
  26. Myoepiteliální léze
  27. Mesenchymální nádory
  28. Fibroepiteliální nádory
  29. Tumory prsní bradavky
  30. Maligní lymfom a metastatické nádory
  31. Nádory mužského prsu
Nádory prsu